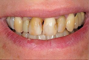
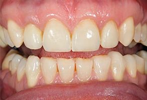
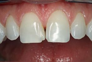
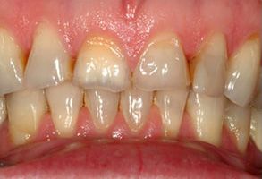
Brian Howe DDS, Family Dentistry
Your Trusted Local Dentist
1534 W Church Street
Newark, OH 43055
Existing Patients: (740) 344-4549
New Patients: (740) 212-1897
Monday
9:00 am - 6:00 pm
Tuesday
8:00 am - 4:00 pm
Wednesday
8:00 am - 4:00 pm
Thursday
8:00 am - 4:00 pm
Friday
Closed
Saturday
Closed
Sunday
Closed
















